
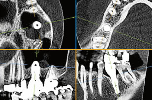
お口周りの状態・病変を立体画像で把握
従来のレントゲンでは平面画像のみで診断を行っておりました。しかし、堺市の歯医者 ゆうき歯科・矯正歯科クリニックが導入する歯科用3DCTでは口腔内の状態を立体画像で取得できます。
取得した画像から一般歯科はもちろんインプラント、矯正治療、親知らずの抜歯、歯周外科治療など幅広い症例において安全・的確な処置が可能です。
また、医科用と比べて撮影箇所が限定されることで撮影時間が大幅に短縮され、低被曝で身体にも安心です。
SIMULATION

インプラントを埋入する場所の骨の厚み・硬さを診断して、適切なインプラント選択と処置をサポートします。

骨格や歯の位置・噛み合わせなどがわかるセファロ撮影に、分析ソフトを併用して治療前後を比較・成長を予測。

根っこの曲がり方や歯と神経の距離をしっかり把握し、安全かつ負担の少ない抜歯につなげます。

歯型採得にかかる負担や時間を最小限に
被せ物・詰め物や矯正装置などの技工物を作成する際、粘土のような素材(印象材)を口に入れて噛むことで歯型を採得していました。その際、粘土の感触が不快だったり印象材が固まるまで動けないなど、負担に感じる方も多いです。
当院では光学3Dスキャナーを導入し、スキャナーの光を口腔内に照射するだけで短時間で歯型を採得しています。その場で高精細画像としてデータ化されてモニターで映し出されるため、口腔内の状態把握やインビザライン矯正の治療前後のシミュレーションが可能です。










視野拡大で精密歯科治療をサポート
三国ヶ丘駅の歯医者 ゆうき歯科・矯正歯科クリニックでは、肉眼より大幅に視野拡大が可能な歯科用顕微鏡(マイクロスコープ)を導入しています。
これまで肉眼で確認できなかった根管(歯の根)の内部から歯周組織、歯の切削面などを、肉眼の20倍近くまで拡大して細部を確認できます。拡大視野下での治療で病変の見逃しや治療箇所の取り残しを予防するだけでなく、根管治療やむし歯治療、歯周病治療、インプラント治療など幅広い症例において低侵襲で再発リスクの少ない精密治療が可能です。
MICROSCOPE

肉眼では見逃してしまう小さな病変も拡大視野で捉え、早期発見・早期治療により大切な歯を守ります。

ミクロ単位で歯を削る量を最小限に抑え、精密処置により再発リスクを軽減して大切な歯を残します。

マイクロスコープに搭載された録画機能で治療中の映像を記録し、モニターにて患者様の口腔内の様子を共有します。







お口に入る器具が全て安全・清潔であるために
歯科医院は医療の現場であり、出血を伴う処置も頻繁にございます。
その中で本当の意味での「綺麗な歯科医院」を維持するため、堺市の歯医者 ゆうき歯科・矯正歯科クリニックでは患者様ごとの治療器具の交換、滅菌消毒システム、使い捨て器具の活用をはじめとする院内感染対策を徹底し、歯科医院の外観や内観だけではなく患者様の目に触れない細かい部分まで配慮した衛生管理を行っています。



PREVENTION

滅菌消毒後、空気の細菌が器具に再付着しないように次の治療で使用するまで滅菌パックで保管します。

滅菌処理ができない器具や注射針・グローブ・コッブ・エプロンなどは、使い捨てのものを採用しています。

安心・安全な治療環境を提供するため、スタッフ全員が衛生知識を深め、妥協のない院内感染予防を徹底しています。

麻酔時の痛みを最小限に抑える
歯科医院を避けてしまう最大の原因として痛みが挙げられます。その中でも治療時の痛みを緩和させる麻酔注射自体が痛いと感じる方も多いです。
三国ヶ丘駅の歯医者 ゆうき歯科・矯正歯科クリニックでは麻酔時の痛みを軽減させるために、電動麻酔器をはじめとする機器の導入や極細針を使用しています。また、解剖学的な痛点分布を把握した上で痛点が少ない場所を捉えて麻酔を行うなど、長年の経験で培った麻酔技術をもって、できる限り痛くない治療を提供します。




恐怖心を軽減し安全な治療を
歯科治療に対して不安や恐怖を感じる方や、嘔吐反射が強く治療が困難な方のために、当院では笑気吸入麻酔を導入しています。
鼻に専用のマスクを装着し、亜酸化窒素という鎮静効果のある笑気ガスを吸引することで意識がぼんやりし、リラックスした状態で治療が行えます。
麻酔中は意識があり、装置を外せばすぐに効果がなくなるため、副作用が非常に少なく安心です。
*希望される患者様に使用